
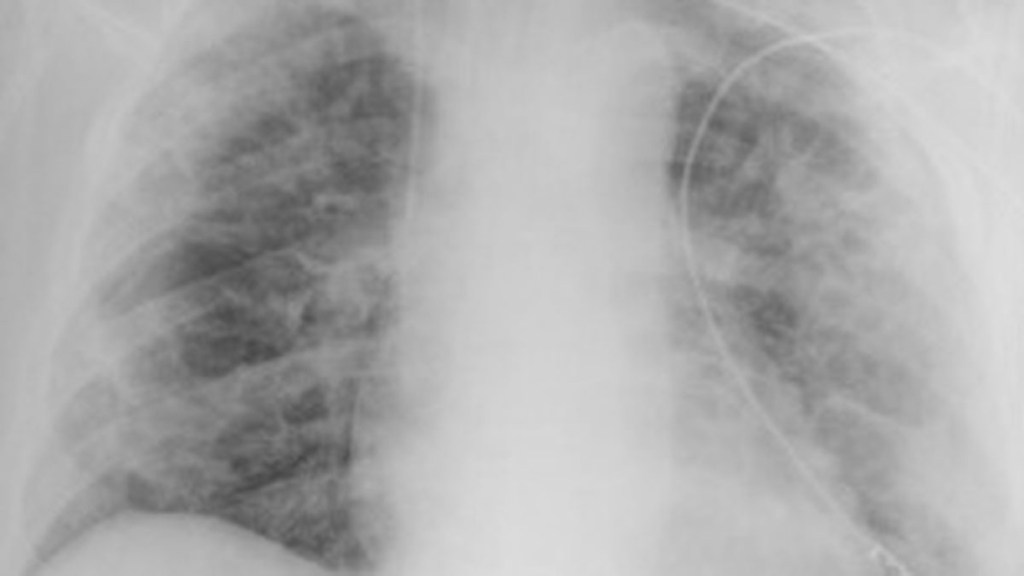
“I don’t know who needs to hear this. But post-Covid lungs look worse than any type of terrible smoker’s lungs we’ve ever seen…” the tweet began. She also posted a photos x-ray photos of healthy lungs, a smoker’s lungs, and post-Covid lungs… More here.
This is truly shocking and the potential implications could have long term effects on the economy and the way we live.
Categories: Health
Scary, and I’m sure it’s unsettling to you wondering what long-term effects there will be for yourself. It should make everyone that much more cautious and vigilant, and yet it doesn’t – like so many things in life. We are not a smart species.
LikeLike
Just read an article on people who are called long-haulers. People who have had Covid and suffer long-term effects. The theme of the article was that Canada isn’t doing nearly enough compared to the U.K. It is scary and we’re hopeful for you and yours.
LikeLike